デジタルX線装置は、高精度な画像診断を実現し、幅広い診療に対応します。
低被曝設計により、患者様の負担を抑えつつ、スピーディーな撮影が可能です。
撮影後はすぐに画像を確認できるため、精密な診断と迅速な対応につながります。


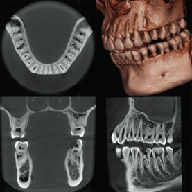
高精細な3D画像が撮影可能な『歯科用CT』
副鼻腔から歯根の形態、顎関節まで詳細に評価でき、幅広い診断・治療に対応可能です。


CT画像を活用した治療
インプラント治療
骨の厚みや密度を正確に把握し、安全な埋入計画。
→インプラントページへ

埋入シミュレーション
口腔内スキャナーで採得したデータとCT画像を融合させることで、インプラントの埋入位置・角度・深さを正確に誘導するマウスピース型の装置『サージカルガイド』を作製。
→口腔内スキャナーページへ
→サージカルガイドページへ


ガイドプロトコール
親知らずの抜歯
神経や血管の位置を正確に把握し、安全な抜歯計画
→口腔外科ページへ


親知らず抜歯シミュレーション
歯周病の精密検査
歯槽骨の吸収状態や歯根の状態、病変の確認
→歯周病ページへ

歯周病の精密検査
副鼻腔症状の診断
炎症や病変の広がりを正確に把握
→副鼻腔ページへ

副鼻腔画像
歯根嚢胞や腫瘍の診断
病変の正確な位置、広がり、周囲組織との関係を把握
→口腔外科ページへ
→歯内療法ページへ
歯内療法の精密検査
根管の形態や病変の詳細を把握
→歯内療法ページへ
外傷時の診断
歯や骨の損傷を正確に把握
→口腔外科ページへ
顎関節症の診断
関節の骨構造(変形や吸収の有無)を詳細に把握
→顎関節症ページへ
歯根破折の診断
あらゆる角度から破折線を確認
→口腔外科ページへ
歯列全体を一目で確認できる『パノラマX線撮影』
お口全体の健康チェックを
パノラマX線撮影は、上下の歯列・顎の骨・顎関節を一度に撮影できる検査です。お口全体の健康状態を把握し、異常を早期発見するのに役立ちます。
こんな診断に活用されます
- 虫歯・歯周病の進行確認
- 歯根や骨の状態チェック(根尖病変・骨吸収の有無など)
- 親知らずの位置や生え方の診断
- 顎関節や顎の骨の異常発見
- 初診時の総合診断・定期検診での経過観察
目に見えない病変を早期発見できるため、症状が出る前の予防ケアにもつながります。
お口の状態は日々変化するため、年1回のパノラマX線撮影を推奨しています。
定期的な検査で異常を早期発見し、適切な治療を受けましょう。
パノラマX線の特徴
- 高精細な画像で歯や顎の構造を鮮明に映し出す
- 成人・小児モードなど、多彩な撮影モードを搭載
- 短時間の撮影で負担が少なく、低被曝量
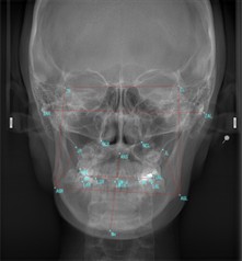
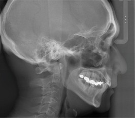
3.矯正治療に欠かせない『セファログラム』(矯正用頭部X線撮影)
セファログラム(頭部X線規格写真)は、骨格と歯の関係を詳細に分析し、適切な治療計画の立案や治療効果の客観的評価に欠かせないX線検査です。
セファログラムの特徴
- 頭部全体の骨格が映る
一般的な歯のレントゲン(パノラマX線)とは異なり、顎の骨や頭蓋の形、顔のバランス まで確認できます。 - 規格化された撮影方法
撮影条件(距離・角度・頭部の固定方法など)が標準化されており、治療前後の比較が正確に行えるのが特長です。 - 歯と骨格の関係を分析できる
顎の位置関係や歯並びのズレを詳細に把握 できるため、矯正治療の計画に欠かせません。
セファログラムの種類と分析内容
セファログラムには、「側面セファログラム」と「正面セファログラム」の2種類があります。
| 種類 | 分析できる内容 |
|---|---|
| 側面セファログラム | 顎の前後的な関係、歯の傾斜角度、上顎と下顎の位置バランス |
| 正面セファログラム | 顔の左右対称性、顎の幅、上下顎の横方向のバランス |
セファログラムの分析(セファロ分析)
セファログラムでは、X線写真に基準点を設定し、角度や距離を測定することで骨格や歯の位置関係を数値化します。
これにより、正確な診断や矯正治療の計画を立てるための重要な情報を得ることができます。

側面セファログラム

正面セファログラム
セファロ分析でわかること
- 顎の骨格やズレの状態
上下の顎の位置関係を確認し、出っ歯や受け口などのズレの程度を診断します。
- 歯並びのバランス
歯の傾きや配置を分析し、矯正装置を装着する際の判断材料になります。
- 顔のバランス
横顔の骨格や、上下顎のバランスを確認できます。
- 成長過程の予測(子どもの矯正で重要)
成長期のお子さまの顎の成長パターンを予測 し、適切な治療計画を立てるのに役立ちます。
- 治療前後の比較(治療効果の確認)
矯正治療による顔や歯並びの変化をシミュレーションし、治療の効果を確認できます。
セファログラムを使うメリット
- 矯正治療の計画が立てやすい(歯をどの方向に動かすかを決める)
- 治療中の変化をチェックできる(治療が順調か確認)
- 治療後の仕上がりを評価できる(後戻りのリスクも予測)
- 顎の骨格やズレの状態
上下の顎の位置関係を確認し、出っ歯や受け口などのズレの程度を診断します。 - 歯並びのバランス
歯の傾きや配置を分析し、矯正装置を装着する際の判断材料になります。 - 顔のバランス
横顔の骨格や、上下顎のバランスを確認できます。 - 成長過程の予測(子どもの矯正で重要)
成長期のお子さまの顎の成長パターンを予測 し、適切な治療計画を立てるのに役立ちます。 - 治療前後の比較(治療効果の確認)
矯正治療による顔や歯並びの変化をシミュレーションし、治療の効果を確認できます。
セファログラムを使うメリット
- 矯正治療の計画が立てやすい(歯をどの方向に動かすかを決める)
- 治療中の変化をチェックできる(治療が順調か確認)
- 治療後の仕上がりを評価できる(後戻りのリスクも予測)
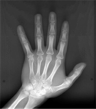
4.歯科矯正と手根骨X線撮影
矯正治療では、患者様の成長段階を正確に把握することが重要です。特にお子様や思春期の患者様では、骨の成長が矯正治療の計画に大きく影響するため、手根骨(手の骨)のX線撮影を行うことがあります。
手根骨の発育は成長期に特定の順序で進むため、この検査を行うことで成長スパート(急激な成長期)のタイミングを予測できます。この情報をもとに、矯正治療の最適な開始時期や治療方法を決定し、より効果的な治療を提供することが可能になります。
特にお子様の矯正では、成長のピークに合わせて治療を行うことで、より良い治療結果が期待できます。
手根骨X線撮影の特徴
- 成長評価に適した検査
手根骨の発達段階を観察することで、個々の成長状況(骨年齢)を把握できます。 - 安全性が高い
低被曝量で、安全に受けられる検査です。 - 矯正治療の適切なタイミングを決定
成長期の矯正治療では、成長スパートの時期を見極めることが重要です。手根骨のX線撮影により、最適なタイミングで矯正を開始し、効率的に治療を進めることができます。 - 成長終了の確認が可能
成人矯正(第Ⅱ期治療)では、骨の成長が完了しているかどうかを判断することが重要です。手根骨撮影を活用することで、顎の成長が完了しているかを正確に評価し、最適な治療計画を立てられます。 - 外科矯正の判断材料になる
顎の成長がどの段階にあるかを確認し、外科手術が必要かどうかを検討する際の判断材料にもなります。 - 個別に最適な治療が可能
年齢だけで判断するのではなく、患者様それぞれの成長状態に応じた矯正計画を立てられるため、無駄のない治療が可能になります。
5.デンタルX線撮影(口内法)
デンタルX線(口内法)の特徴
- 高精細な画像
歯の根や周囲の骨の状態を細かく確認できます。 - 低被曝で安心
X線の放射線量は非常に少なく、安全性の高い検査です。 - ピンポイントで撮影可能
必要な歯だけを撮影できるため、診断の精度が向上します。
撮影方法の種類
- デンタル撮影(歯単位の撮影)
- 1~3本の歯の詳細な画像を取得可能。
- 虫歯や歯周病進行や根の状態を正確に診断できる。
- 根管治療や詰め物・被せ物の適合性の確認にも使用される。
- 10枚法(フルマウス撮影)
上下の前歯・奥歯を含む10枚のレントゲン画像を撮影する方法です。歯周病の進行具合や歯の根の状態、歯槽骨の状態を詳しく診断できます。特に、歯周病が気になる方や、複数の歯の治療計画を立てる際に有効です。

10枚法
こんなときに撮影します
- 虫歯の診断(特に歯と歯の間の見えにくい部分)
- 歯周病の進行度チェック
- 根管治療(歯の神経の治療)の前後確認
- 親知らずの状態把握
- 詰め物や被せ物の適合確認
- 歯周病の総合的な診断(10枚法の適用)
安心して撮影を受けていただくために
妊娠中の方へ 妊娠中の方は、事前に歯科医師へご相談ください。
撮影時の違和感について 口の中にフィルムやセンサーを入れる際、違和感を覚えることがありま す。不安がある方は、スタッフまでお気軽にお声がけください。
6.歯科用レントゲンの被曝量について
適切な診断と安全な治療を行うために、必要なレントゲン撮影を安心してお受けいただければと思います。
日常生活における自然放射線被曝
私たちは日常生活の中で、宇宙や大地、食物などから自然放射線を受けています。
日本における年間の自然放射線被曝量は平均約2.1ミリシーベルト(mSv)とされています。
歯科用レントゲンの被曝量
歯科で使用される主なレントゲン撮影とその1回あたりの被曝量は以下の通りです。
- パノラマエックス線撮影(お口全体の撮影):約0.03~0.05mSv
- デンタルエックス線撮影(歯の部分的な撮影):約0.01mSv
- 歯科用CT撮影:約0.1mSv
これらの数値は、日常生活で受ける自然放射線量と比較してもごくわずかであり、健康への影響は極めて低いとされています。例えば、デンタルX線1枚の被ばく量は、東京~ニューヨーク間の飛行機旅行(約0.05mSv)の1/5以下とごくわずかです。
被曝量の安全基準
一般的に、健康に影響を及ぼすとされる被曝線量は100mSv以上とされています。歯科用レントゲンの被曝量はこれを大きく下回っており、安全性が確保されています。

※参考:環境省「診断で受ける放射線量」
環境省HPより




