エアフローは、微細なパウダーをジェット水流で吹き付け、歯の表面をやさしくクリーニングする機器 です。コーヒーや紅茶、タバコによる着色汚れはもちろん、虫歯や歯周病の原因となる 「バイオフィルム(細菌の膜)」 も効果的に除去できます。
エアフローを活用したPMTC(プロフェッショナル・メカニカル・トゥース・クリーニング) を導入し、より快適で効果的なクリーニングを提供しています。
歯の健康を守りながら、美しく清潔な口元へ。ぜひご利用ください!

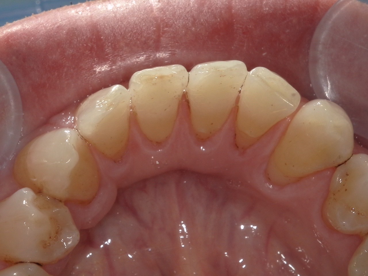
Before

After


PMTC(プロフェッショナル・メカニカル・トゥース・クリーニング) とは?
歯科医院で専門の機器を使って行う プロによる歯のクリーニング です。普段の歯みがきでは落としきれない汚れやバイオフィルムを除去し、虫歯や歯周病の予防に役立ちます。
エアフローを使用したPMTCは保険適用外です
エアフローを用いたPMTCは、保険外の自由診療となります。
なぜ保険適用ではないの?
保険診療では、歯周病治療の一環としての基本的なクリーニング(スケーリングなど)は適用されますが、「健康な歯をより美しく保つための施術」(PMTCやエアフローによる着色除去・バイオフィルム除去)は保険の適用外となります。歯の健康を守りながら、美しく清潔な口元を維持するために、ワンランク上の予防ケアをぜひご利用ください!
→予防・クリーニング・PMTCページへ
エアフローの特長
歯や歯ぐきにやさしい低侵襲クリーニング
器具を直接歯に当てないため、歯や歯ぐきを傷つけにくく、痛みや不快感が少ない
器具を直接歯に当てないため、歯や歯ぐきを傷つけにくく、痛みや不快感が少ない
短時間で効率的なクリーニング
ジェット水流と微細なパウダーを使用し、広範囲の汚れ(プラーク・バイオフィルム)を短時間で除去
着色汚れを効果的に除去
コーヒー、紅茶、赤ワイン、タバコなどによるステイン(着色汚れ)を落とし、歯本来の色に近づける
細部まで届く精密洗浄
歯と歯ぐきの間や、歯と歯の隙間など、従来の器具では届きにくい部分までしっかりクリーニング
☆エアフローなら、歯に負担をかけずにスピーディーで快適なクリーニングが可能です!
こんな方におすすめ!
- タバコやお茶、コーヒーによる着色汚れが気になる方
- インプラントやセラミックの歯を綺麗に保ちたい方(傷つけずにクリーニング可能)
- 矯正中で歯みがきが難しい方(装置の周りの汚れを徹底洗浄)
- 口臭が気になる方(口腔内の細菌バランスを改善)
- 保険のクリーニングでは落としきれない細かい汚れを取りたい方
エアフローを受ける際の注意点
以下に該当する方は、事前にご相談ください。
- ナトリウム摂取制限がある方(パウダー成分にナトリウムを含む場合があります)
- 慢性気管支炎や喘息などの呼吸器疾患がある方(エアフローのパウダーが気管に影響を与える可能性があります)
