見えない不安を、見える安心へ。
お口の中は狭く暗いため、手鏡では奥歯や歯ぐきの状態を確認するのは難しいものです。
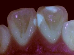
口腔内カメラを使用し、歯1本1本の細部まで鮮明に撮影。モニターに映し出すことで、ご自身の目で状態をしっかり確認できます。
口腔内カメラを使用し、歯1本1本の細部まで鮮明に撮影。モニターに映し出すことで、ご自身の目で状態をしっかり確認できます。
「どこが悪いのか」「どんな治療が必要なのか」 を視覚的に理解できるため、納得して治療を受けていただけます。

口腔内カメラでできること
奥歯や歯の裏側など、見えにくい部分を鮮明に
- 虫歯の進行度
- 歯ぐきの腫れや炎症
- 歯の破折(ひび割れ)など
治療の前・途中・後を比較して、治療の効果を実感
- 治療がどのように進んでいるかを確認
- 説明を聞くだけでなく、実際の画像を見ながら理解できる
患者さまと一緒に、お口の健康を守る診療
- 治療の必要性や方法について、視覚的にわかりやすく説明
- ご自身の状態を理解することで、納得して治療を進められる

歯の破折

不適合な補綴物

不適合な補綴物

歯石

CR充填

根管充填前の根管状態
