Er:YAG Laser Technology For a Wide Variety of Treatments
Er:YAGレーザーポインターは、水を含んだ生体組織に対する蒸散能力が高く、表層にのみ反応が起こり、熱の発生が微小なため、痛みが非常に少ないという特徴があります。
また、光エネルギーの吸収が表層に限定されて行われるため、CO2 Laser、Nd : YAG Laserに比べ、透過光による組織深部への影響が少なくてすみます。エナメル質にクラックが起こりにくく、照射野周囲の熱拡散が少ないため、周囲組織への影響はほとんど有りません。

| 硬組織疾患 効果:蒸散 |
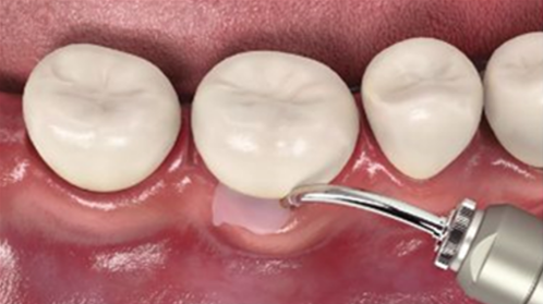
歯周疾患 効果:切開、蒸散 |
軟組織疾患 効果:切開、止血、凝固、蒸散 |
|---|---|---|
| う蝕除去 くさび状欠損の表層除去 |
歯石除去(インプラントへの付着を含む) 骨切除 歯周ポケットへの照射 ポケット掻爬 フラップ手術 歯肉整形 |
歯肉切開・切除 口内炎の凝固層形成 小帯切除 色素沈着除去 |

う蝕除去

歯石除去
(インプラントへの付着を含む)

歯肉切開・切除

骨切除

歯周ポケットへの照射

色素沈着除去
