ホワイトニング
ホワイトニング
歯みがきや歯のクリーニングでは落ちにくい、歯の内面からの黄ばみを白くして、本来の自分の白い歯の色に戻していく方法です。
使用する薬剤の主成分は過酸化水素という消毒にも使われている安全性の高いものです。
この過酸化水素に専用の温かい光を当てることで「フリーラジカル」という物質が発生し、歯の着色の原因となる有機物を分解します。これにより歯の黄ばみが目立たなくなり、透明感のある白い歯へと導きます。
また、フリーラジカルには歯の表面のエナメル質を角状から球状に変化させる働きがあり、これにより光の乱反射が起こり、象牙質の黄色味が味透けて見えにくくなるという作用もあります。
この過酸化水素に専用の温かい光を当てることで「フリーラジカル」という物質が発生し、歯の着色の原因となる有機物を分解します。これにより歯の黄ばみが目立たなくなり、透明感のある白い歯へと導きます。
また、フリーラジカルには歯の表面のエナメル質を角状から球状に変化させる働きがあり、これにより光の乱反射が起こり、象牙質の黄色味が味透けて見えにくくなるという作用もあります。

歯が黄ばむ原因
歯はエナメル質・象牙質・歯髄の3層で構成されています。表面のエナメル質には有機質が含まれており、食べ物や飲み物に含まれる色素が付着することで着色し、歯が黄ばんでで見えるようになります。
また、加齢とともにエナメル質がすり減ると、その内側にある象牙質の黄色味が目立つようになり、全体的に歯が黄ばんだ印象になります。

PMTCとホワイトニングの違い
ホワイトニングは歯の組織にしみこんでしまった色素(黄ばみ)を分解・除去し、歯本来の白さに近づけるための処置です。
一方PMTCは、歯の表面に付着した着色汚れや歯垢を専門的な器具で取り除くクリーニングのことです。
どちらも歯をきれいに保つ処置ですが、ホワイトニングは通常のクリーニングとは異なるので、お間違いのないようにしてください。
ホワイトニングの種類について
医療ホワイトニングにはオフィスホワイトニング、ホームホワイトニングがあります。ホワイトニングジェルは異なる液を使用します。
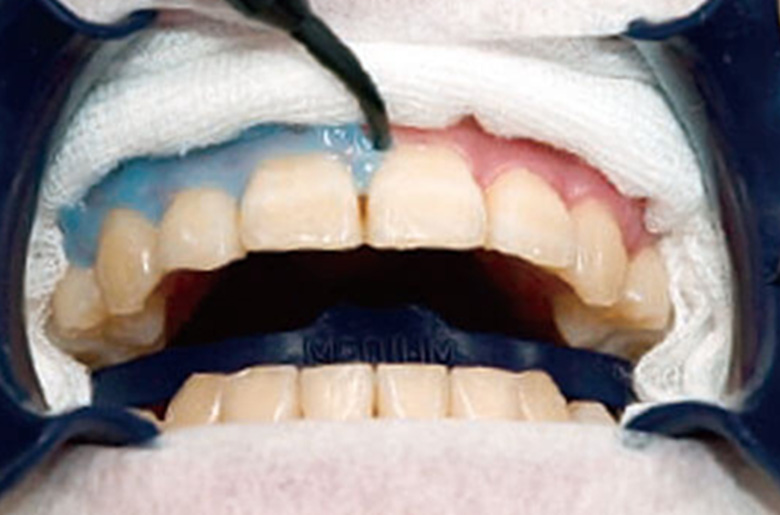
オフィスホワイトニング
歯科医院で行うホワイトニングです。
基本的には歯の中心から4番目の歯までを対象として行います。
当院ではティオンオフィス(GC 高度管理医療機器 承認番号:22200BZX00785000)を使用しております。
- 処置時間
- 60分~90分/回
- 料金
- 3歯以下 22,000円
4歯以上 33,000円
※施術部位のPMTCを含んだ金額
※初診料、再診料は別途必要です

ホームホワイトニング
マウスピースを使いご自身で行って頂くタイプのホワイトニングです。
すべての歯が対象となります。
当院ではティオンホームプラチナ(GC 高度管理医療機器 承認番号:22900BZX 00205000)を取り扱っております。
型どりの1週間後にトレーをお渡し、開始できます。
- 処置時間
- 2週間(1日2時間まで)
- 料金
- 上下すべて 22,000円
追加薬剤4本入 11,000円
追加薬剤2本入 7,150円
※初診料、再診料は別途必要です

比較表
| 手法 | 歯医者医療機関で行う オフィスホワイトニング |
ご自宅などで行う ホームホワイトニング |
|---|---|---|
| 時間 | 施術時間=1~2時間 1回の施術で歯を白くする/連続3回推奨 |
1日2時間ご自宅などで10~14回、徐々に歯を白くしていく |
| 方法 | ホワイトニング材を塗り、光を照射してホワイトニング効果を促進させる | 歯にフィットする自分専用のマウストレーに、ホワイトニングジェルを入れて装着する |
| メリット | 1回で効果が得られる 時間が無い方に最適 (例:結婚式を間近に控えている方など) |
時間をかけることでホワイトニング効果が高い オフィスホワイトニングよりも白さが長持ちする |
| デメリット | ホームホワイトニングよりも白さが長持ちしにくい | 効果を得るまでに時間がかかる |
